AMOND

전후사진

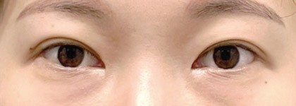
아몬드 성형외과에서 수술하신 분들의 전후사진입니다.

BEFORE

AFTER

자연유착(재)

자연유착(재)
자연유착(재)
절개(재)+눈매교정
자연유착(재)
자연유착(재)+비절개눈매교정
절개(재)+눈매교정+라이너트임
절개(재)+눈매교정+앞트임+라이너트임
자연유착(왼쪽만재)+라이너트임(재)

의사보다 내가 더 만족하는 아몬드

카카오톡 상담

온라인 상담